معرض صور مجمع الأثير لطب الأسنان
لابتســـــــــــــــامتك المثاليــــــــــــــــــــــــة
نتائج علاج حقيقية من عيادتنا, قبل وبعد – لأن ابتسامتك تستحق الأفضل
تلبيس اسنان زيركن
د. هانى محمد
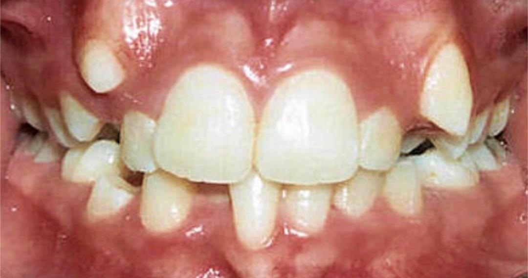
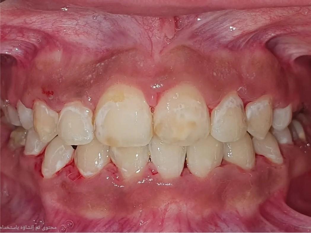
نقص كالسيوم في الاسنان العلوي والسفلي


زراعة أسنان
د. هانى محمد
فقد الاسنان بشكل كامل علوي وسفلي


زراعة أسنان
د. هانى محمد
فقد الاسنان بشكل كامل علوي وسفلي


تلبيس اسنان زيركن
د. هانى محمد
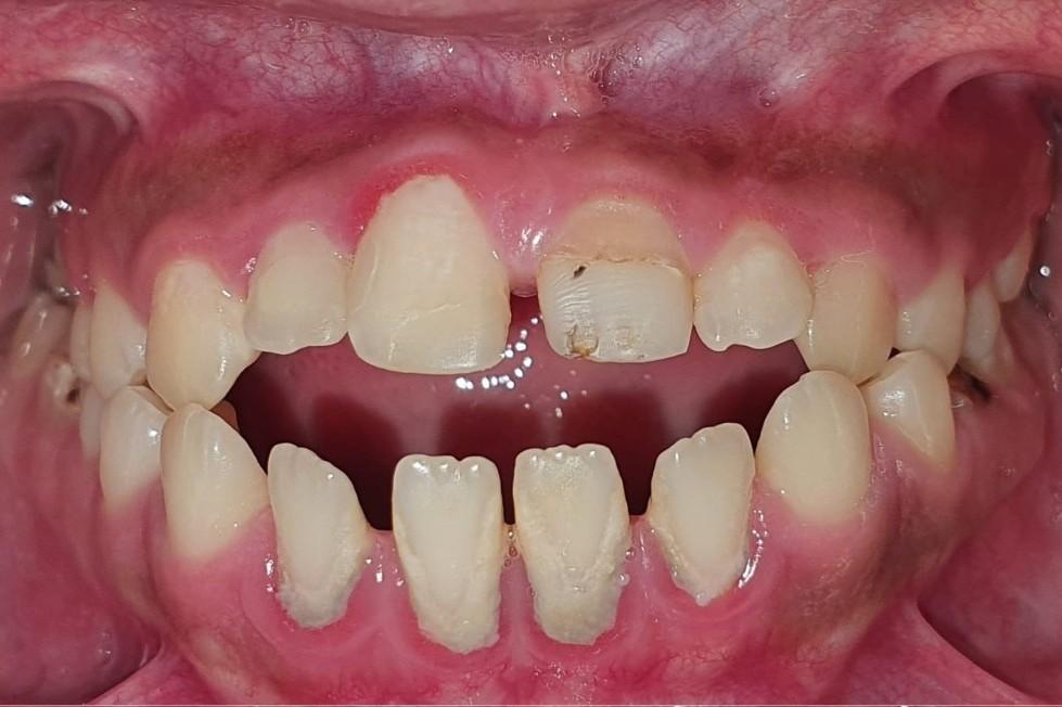
فقد جزئي في الاسنان العلوي


تلبيس اسنان زيركن
د. هانى محمد
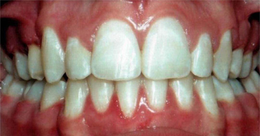
نقص كالسيوم في الاسنان العلوي والسفلي


تلبيس اسنان زيركن
د. هانى محمد
نقص كالسيوم في الاسنان العلوي والسفلي


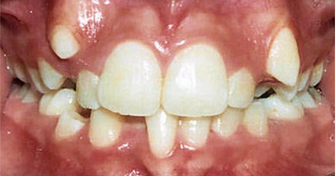
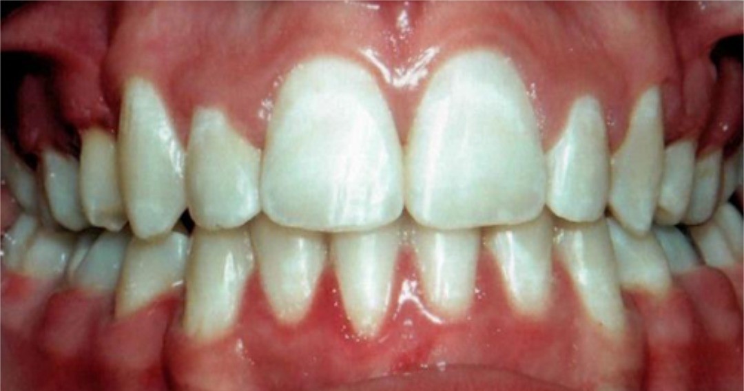
تقويم أسنان
د. محمد الأحمد
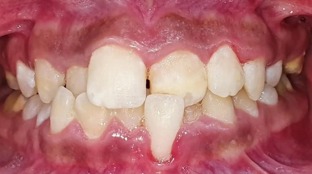
عضة مفتوحة أمامية, بروز في الأسنان, عضة معكوسة أمامية, جهاز تقويم معدني


تقويم أسنان
د. محمد الأحمد
ازدحام في الأسنان, عضة معكوسة أمامية


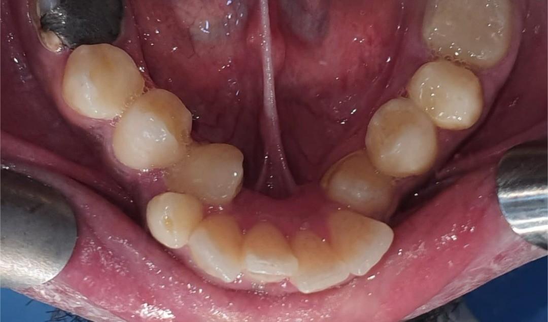
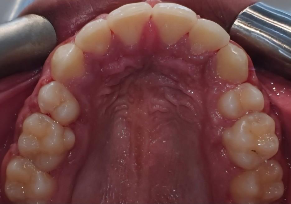
تلبيس اسنان زيركن
د. سكينة الصباحي
علاج اللثه ياخذ حوالي شهر للمعالجه ، لكن التركيبات من اسبوعين الى ثلاثه بإستخدام تقنية حشو متقدمة (حشوات ليزرية), نظام تعقيم مطور


تقويم أسنان
د. محمد الأحمد
ازدحام شديد


تقويم أسنان
د.محمد القللي
خلع بسبب ازدحام بين الأسنان


تقويم أسنان
د. محمد الأحمد
تزاحم أسنان عالي وعدم بزوغ الأنياب بإستخدام جهاز أشعة جديد (CBCT)


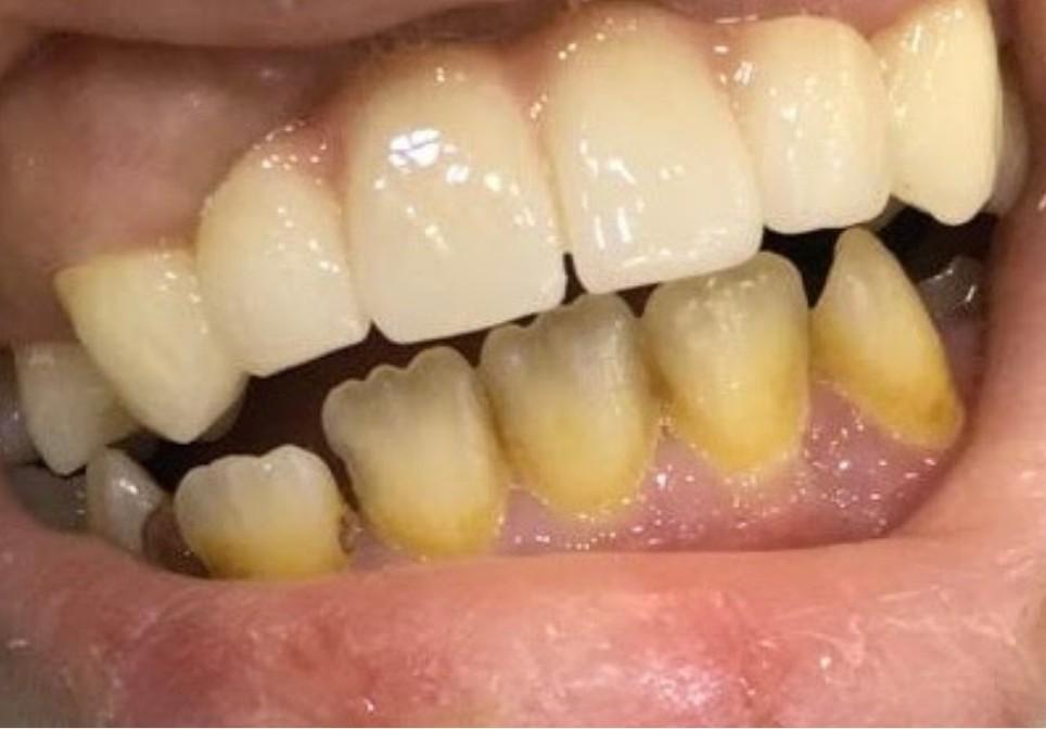
تلبيس اسنان زيركن
د. مها البارودي
لم يستغرق وقت, عمر المريض 30, اللثه طبيعيه


تلبيس اسنان زيركن
د. سكينة الصباحي
تم علاج الضيف خلال 10 ايام فقط بإستخدام تقنية حشو متقدمة (حشوات ليزرية)



